Please ensure Javascript is enabled for purposes of website accessibility

February 5, 2019

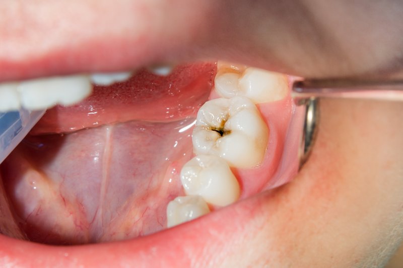
a tooth with a cavityHave you ever noticed that black stuff that forms in the crevices of your tooth? Maybe while you were brushing, you noticed it and wondered, “Could that be a cavity?” Well, you’re probably right, and that means, it’s time to see your dentist. Whether you or your dentist noticed the cavity first, it is important to have it filled promptly to prevent further damage to the tooth. However, if you’ve been fortunate to have never experienced a cavity, here are some tips from a dentist in Vero Beach to help prevent them from forming in the future. (more…)