Complete Implant Dentures
 
                       This patient was missing several of his teeth when he came to see us, and many of the remaining ones were worn down and starting to show decay as well. He and our team agreed that the best solution would be to completely rebuild his smile using implant dentures.
 
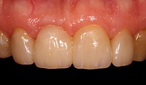
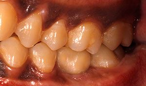
                       We started by extracting his remaining upper teeth and placing dental implants along with a temporary denture at his first appointment. Two weeks later, we repeated the process for his lower teeth. After giving his mouth 8 weeks to heal, we started designing his permanent set of dentures. Today, the patient enjoys renewed oral function and is always eager to show off his smile. The total treatment time took about 5-6 months.
 
             
                         
                         
                         
                         
                         
                         
                         
                         
                         
                         
                         
                         
                         
                         
                         
                         
                         
                         
                         
                         
                         
                         
                         
                         
                         
                         
                         
                         
                         
                         
                         
                         
                         
                         
                         
                         
                         
                         
                        